Transforma la forma de colaborar,
diagnosticar y enseñar en el entorno médico
THEA es la plataforma integral que conecta equipos médicos en un entorno colaborativo con comunicación segura y visualización DICOM avanzada para mejorar la formación y la toma de decisiones en tiempo real.
Visualización multimodal de alto rendimiento
Imágenes más claras y precisas en cada estudio
Vea todos los detalles con soporte para fusión de imágenes multimodales, reformateo multiplanar y más.
Herramientas de medición, anotación y segmentación 3D
Diagnósticos más claros, decisiones más seguras
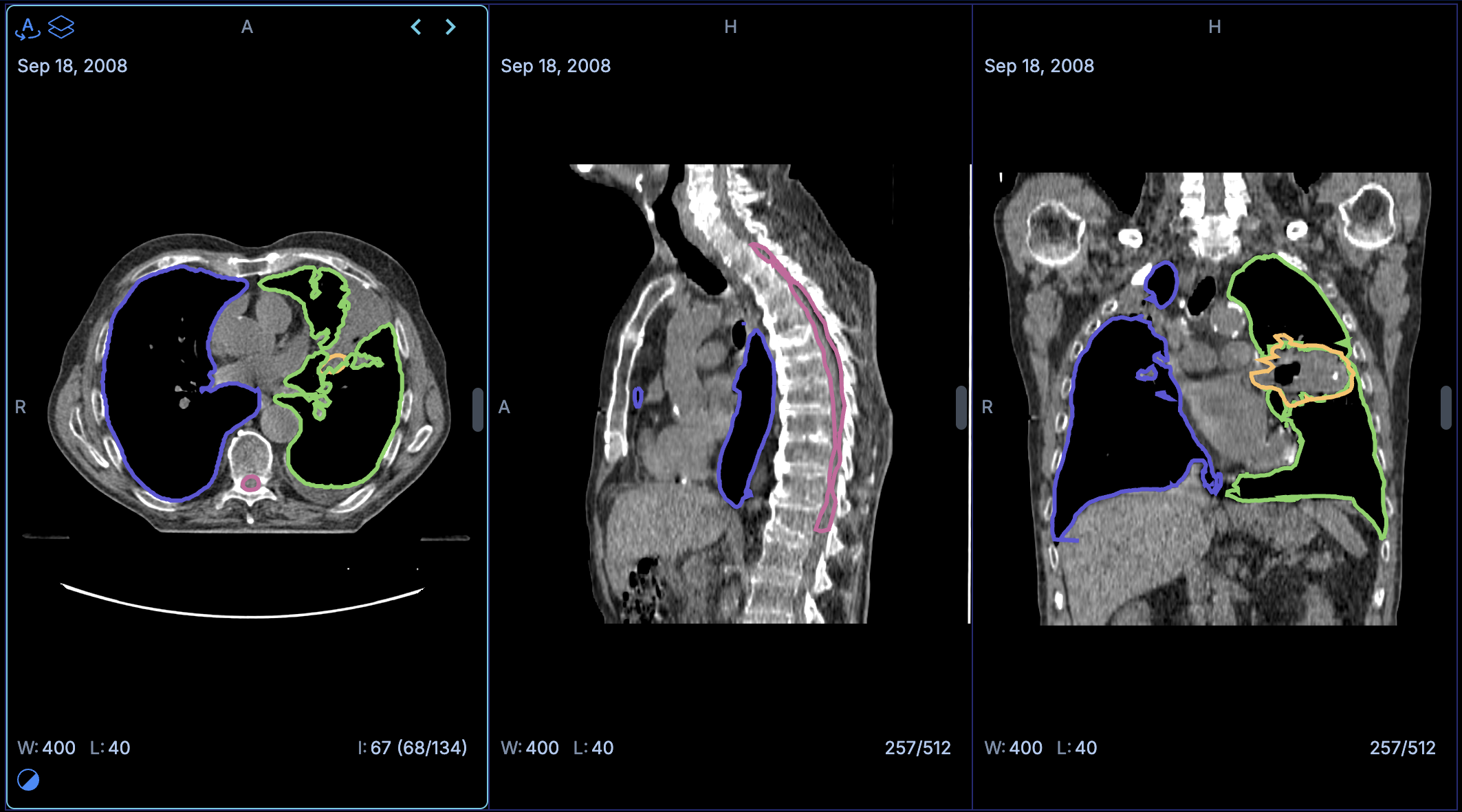
Ofrece un conjunto avanzado de herramientas para medición de distancias, ángulos, áreas y volúmenes, así como segmentación anatómica tridimensional. Estas funciones proporcionan datos cuantitativos de apoyo al diagnóstico, la planificación terapéutica y la investigación clínica.
Acceso web interoperable
Tu visor médico, siempre disponible
Plataforma completamente accesible desde navegador, sin instalación local, con soporte para estándares DICOMWeb y OpenID Connect. Su arquitectura garantiza interoperabilidad con PACS, RIS y sistemas hospitalarios, manteniendo la seguridad y trazabilidad de la información clínica.
Medición y anotación de imágenes
Control total de las medidas del estudio
Utilice una biblioteca robusta de herramientas de anotación y medición fáciles de usar.
Segmentación 3D
Diagnósticos más claros, decisiones más seguras
Segmente con precisión las estructuras anatómicas en imágenes médicas 3D para un análisis y visualización avanzados.
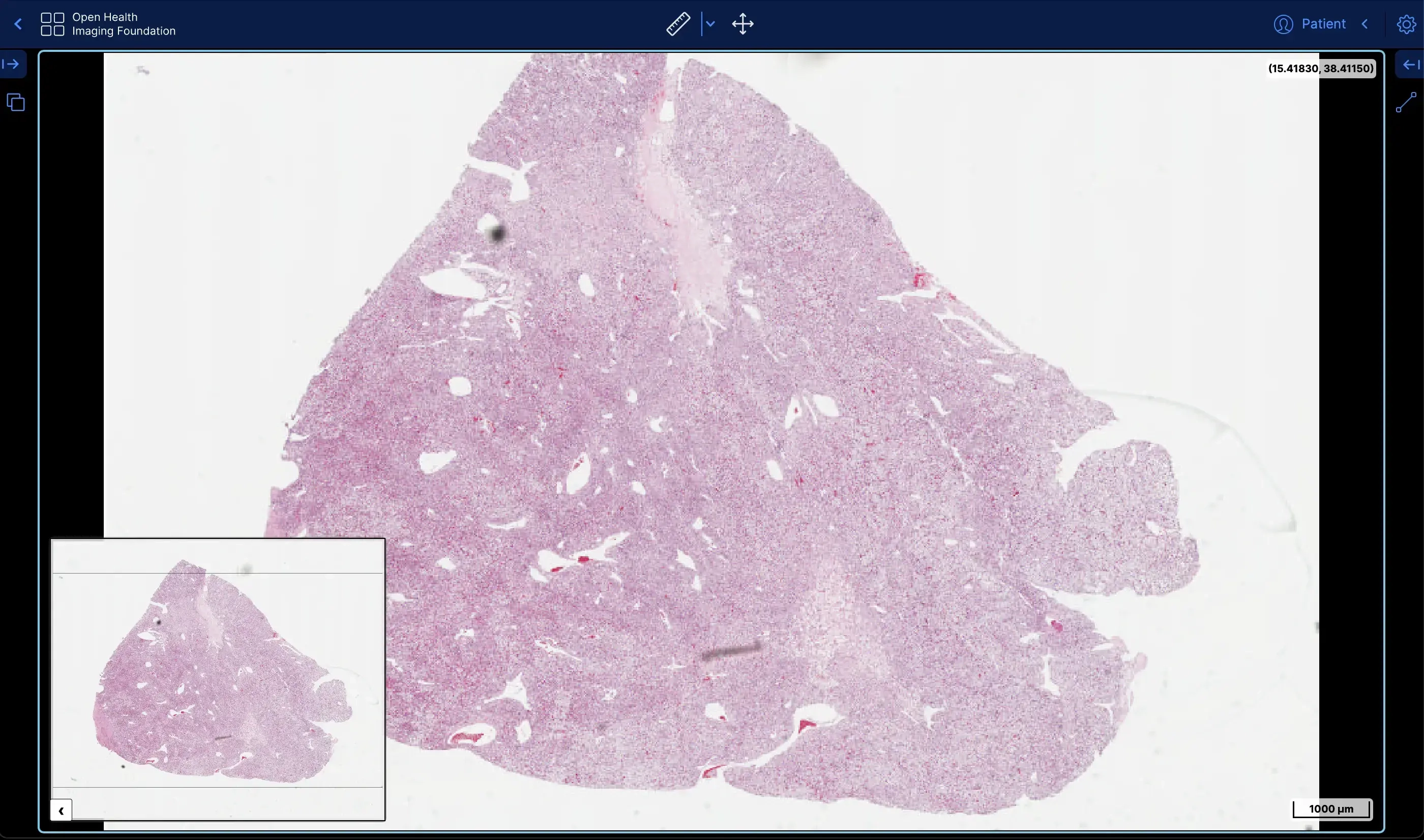
Microscopía digital de alta resolución
Visualización adaptada a cada especialidad
Incorpora visualización de portaobjetos digitales escaneados con respuesta ultrarrápida. Permite revisar imágenes de anatomía patológica con detalle microscópico, favoreciendo el diagnóstico remoto, la docencia y la colaboración interdepartamental.
Componentes reutilizables
Ahorra tiempo reutilizando los componentes
Cree flujos de trabajo personalizados utilizando un conjunto componible de componentes de interfaz de usuario.
Crear flujos de trabajo personalizados
Crea tu propio flujo de trabajo clínico
Thea se basa en una arquitectura modular y en componentes reutilizables que permiten configurar flujos de trabajo específicos para distintas especialidades médicas. Su diseño abierto facilita la integración con herramientas externas y la evolución continua del entorno clínico.
Fusión multimodal integrada
Thea integra fusión multimodal en una sola ventana gráfica, combinando estudios PET/TC, RM o dosis RT. Sus controles de opacidad y superposición permiten correlacionar imágenes funcionales y anatómicas, mejorando la precisión diagnóstica y agilizando la planificación clínica.
Los controles interactivos de opacidad y fusión permiten ajustar la visualización de los conjuntos de datos, simplificando la gestión de superposiciones y acelerando los flujos de trabajo de imágenes multimodales. Tanto si compara datos funcionales y anatómicos como si revisa distribuciones de dosis junto con estudios de imagen, estas herramientas proporcionan información visual más clara.

Gestión interactiva de superposiciones
Los controles de visualización de Thea permiten ajustar transparencia, contraste y fusión entre conjuntos de datos. Facilitan la revisión de imágenes multimodales, simplifican la comparación clínica y reducen el tiempo de análisis para una toma de decisiones más ágil y precisa.
Los usuarios pueden visualizar fácilmente los objetos de dosis DICOM RT en la misma ventana gráfica que las imágenes anatómicas. Esta función permite configurar ajustes de visualización, como transparencia, mapeo de color y umbrales de dosis, lo que proporciona la flexibilidad necesaria para adaptar las vistas a las necesidades clínicas específicas.

Visualización de dosis de radioterapia (RT Dose)
Thea ofrece compatibilidad total con la visualización de dosis de radioterapia superpuestas sobre imágenes TC o RM. Los usuarios pueden configurar parámetros de visualización —como color, opacidad o umbrales de dosis— para adaptar la evaluación a cada caso clínico.
Esta actualización proporciona una integración perfecta en los flujos de trabajo de oncología, lo que mejora significativamente la precisión espacial y la utilidad general para los médicos e investigadores que trabajan con la planificación y revisión de la radioterapia.
Rendimiento, control y exactitud en cada imagen
Características
Obtenga más información sobre el marco de OHIF Viewer, las características principales y la extensibilidad.
Aprender
Vea un conjunto seleccionado de recursos para comenzar a usar OHIF y encuentre documentación detallada.
Comunidad
Colabora, contribuye y mantente actualizado sobre las últimas noticias y la hoja de ruta.
Obtener soporte
Ponte en contacto con nosotros para obtener más información sobre cómo podemos ayudarte con tu proyecto.
La nueva asistencia de última generación para operaciones quirúrgicas
Sophie integra, comunica, evoluciona, aprende y documenta todo en una única plataforma preparada para el presente y futuro de la inteligencia artificial quirúrgica.
¿Qué puedo hacer con Thea?
La plataforma THEA ofrece una solución integral que combina conectividad y atención en un solo sistema.
¿Cómo puedo visualizar imágenes DICOM 2D y 3D?
La plataforma permite visualizar imágenes DICOM en 2D y 3D con alta precisión, facilitando el análisis detallado de estudios médicos. Ofrece a los profesionales una herramienta avanzada para planificación quirúrgica, diagnóstico y docencia en un entorno interactivo.
¿Thea permite el seguimiento del historial del paciente?
Sí. El seguimiento del historial del paciente integra antecedentes médicos, estudios recientes en DICOM y datos clínicos en un solo lugar. Esto facilita la toma de decisiones, mejora la coordinación entre equipos médicos y docentes, y aporta una visión completa.
¿Puedo acceder a un visor web moderno?
El visor web permite acceder de inmediato a imágenes médicas y al historial clínico desde cualquier dispositivo conectado. Con soporte DICOM 2D/3D, facilita la práctica clínica y la docencia en universidades con un entorno seguro e interactivo.
¿Thea ayuda a realizar diagnósticos rápidos?
Sí. Al integrar estudios DICOM, historial clínico y datos del paciente en un solo visor, se agilizan diagnósticos rápidos y precisos. Esto optimiza el flujo de trabajo en hospitales y potencia la formación médica con análisis en tiempo real.
¿Cómo mejora Thea la educación médica?
La educación médica se enriquece al integrar visualización DICOM, historial clínico y recursos en tiempo real. Estudiantes y profesionales pueden analizar casos reales, participar en simulaciones y acceder a diagnósticos rápidos.
¿Thea ofrece un simulador de casos clínicos?
Sí. El simulador de casos clínicos brinda a estudiantes y profesionales un entorno interactivo para practicar diagnósticos en tiempo real, revisando historiales y analizando imágenes DICOM en un espacio seguro para entrenar habilidades y tomar mejores decisiones clínicas.
Un ecosistema quirúrgico escalable
para hospitales de vanguardia
Un ecosistema modular para potenciar cada etapa del proceso quirúrgico
Alpha Connect
Videoconferencias médicas seguras para conectar profesionales dentro y fuera del quirófano.
Leer másCliqs
Gestión inteligente de datos del paciente, checklist quirúrgica y trazabilidad completa.
Leer másStreamy
Transmisión de streaming grado médico y de alta calidad para docencia y colaboración internacional.
Leer másThea
Visor y gestor avanzado de imágenes DICOM 2D/3D para diagnóstico, planificación y formación.
Leer másVission
Visualización avanzada multi-cámara de calidad 4K/8K con multipantalla y datos en tiempo real.
Leer másIA3000
Toma de decisiones rápidas y precisas con IA médica integrada en el flujo de trabajo.







